Skip to main content
Cosmetic Dentistry
A healthy, beautiful smile starts here

Cosmetic Dentistry | Dentist
Improve your smile today – call to schedule a consultation!
Claim Now!

Cosmetic Dentistry in San Diego, CA

San Diego Cosmetic Dentistry | Peak DentalWhen people think about cosmetic dentistry, they usually picture treatments like porcelain veneers or teeth whitening. But making your smile as healthy and beautiful as it can be may also involve a variety of restorative treatments.

Crowns, bridges, and fillings are not normally thought of as cosmetic procedures. However, at Peak Dental, we believe that every restoration, from a simple filling to a full set of dentures, is an opportunity to not only improve your oral health but also beautify your smile.

We Have a Cosmetic Treatment to Fit Every Need

No matter what you’d like to change about your smile, we’ll help you find a solution:

Professional Teeth Whitening

We offer in-office whitening treatments, which are great for quick touch-ups for a big event. But we highly recommend our professional take-home teeth whitening kits. Not only are our kits convenient, we also believe that whitening done over a period of time produces the best possible long-term results.

All our whitening kits are customized specifically for you. You can expect to see whitening results of about 6 to 8 shades.

Porcelain Veneers

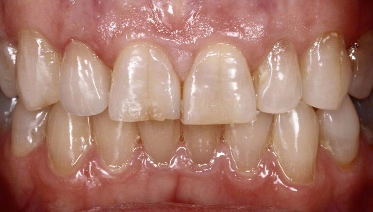
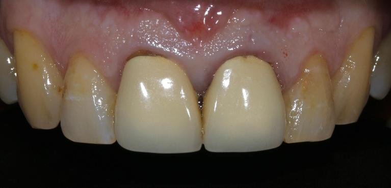
A veneer is a porcelain made by our high-end lab ceramist and bonded to the front surface of your teeth. Veneers look natural and can be used on just one or several teeth to correct many esthetic dental problems. In just a few visits to our San Diego dental office, we can correct the appearance of teeth that are chipped, discolored, or slightly misaligned.

Cosmetic Dentistry Rancho Penasquitos | Peak DentalEsthetic Dental Restorations

Tooth-Colored Fillings & Dental Bonding

The updated material we use for fillings helps us create repairs that look more natural than ever before. Now we can create a filling that looks so much like your own teeth that even you probably won’t be able to see where the filling is! 

This same quality makes composite fillings an excellent, cost effective solution for dental bonding. Bonding is an affordable answer for correcting chips and cracks, filling uneven gaps and spaces between teeth, and concealing dental staining.

Dental Crowns

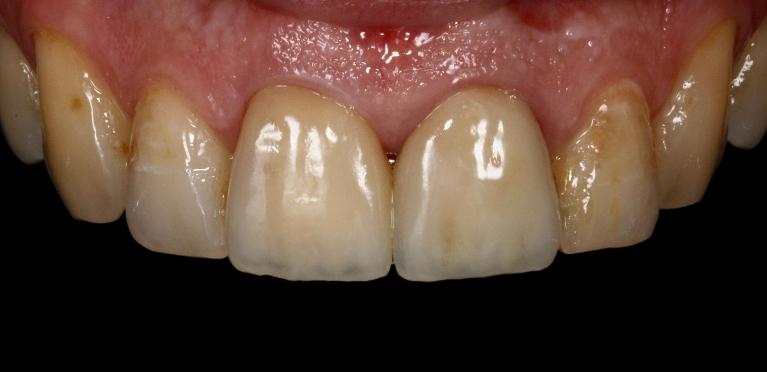
Dental crowns are most often thought of as a solution for a damaged tooth. But since a crown fully encases your tooth, it is also a perfect solution for many cosmetic problems. Crowns can hide old and dark fillings, cover discolored teeth, and reshape poorly proportioned teeth.

Dentures

Millions of people have at least one tooth missing. A big gap in your smile isn’t just unattractive—it’s also unhealthy. Depending on your needs, we may suggest a dental bridge or full or partial denture to restore your smile. If you’re looking for a permanent solution for missing teeth, we’ll be happy to discuss the possibility of dental implants.

Call Today to Learn More about Your Options

With all the amazing advances in dental materials and techniques in recent years, there’s really no limit to the stunning smile makeovers we can customize for you. Please give us a call to arrange a convenient consultation with Dr. Nguyen. We look forward to helping you achieve the smile of your dreams!

Frequently Asked Questions

cosmetic dentist san diegoToday it is easier than ever before to have the smile you’ve always dreamed of.

So many treatments are available that your options are almost unlimited. We may use just one type of treatment, or we may combine several to create the perfect smile.

People don’t often think of crowns or fillings as being cosmetic, but you would be surprised how both can be used to improve your appearance! Both can be color matched to achieve a shade that blends perfectly with your natural teeth. Tooth-colored fillings are a conservative option for repairing small flaws like chipped or broken teeth.

Porcelain veneers are a good choice for altering the appearance of just one or several teeth. Their appearance is similar to that of natural tooth enamel, and they have a number of uses. Veneers can close uneven spaces between teeth, conceal chipped, cracked, or broken teeth, and hide a tooth that is severely stained.

Teeth whitening puts the final touch on a healthy smile, dramatically improving your appearance. We’re pleased to offer both in-office and take-home professional whitening.

Why not call our San Diego dental office today to learn more about our cosmetic dental options?

Teeth whitening is such an easy way to refresh your smile that it’s no wonder it is the most requested cosmetic treatment!

If you are interested in whitening your teeth at home, you have two options – professional customized kits and over-the-counter kits. Let’s take a look at how the two stack up:

Over-the-counter kits provide a whitening gel and a boil-and-bite tray. The tray will conform somewhat to your teeth, but it won’t cover all surfaces evenly because it’s not customized. This can lead to increased risk for sensitivity, inconsistent results, and burning gums where your teeth aren’t protected.

Professional take-home whitening kits are superior to store-bought in many ways. We provide a customized tray made using impressions of your teeth for a perfect fit. We will adjust the strength of the whitening gel you receive with the kit based on sensitivity you may have experienced in the past. You also have the advantage of being under professional care, and we are always available to answer your questions.

While over-the-counter kits can be tempting because they’re so readily available, you do run an increased risk of sensitivity. If you are interested in trying a professional take-home whitening kit, please call our Rancho Penasquitos dentist to make an appointment for your next cleaning!

Meet Our Doctor:

Dr. Duc Nguyen

Born in Philadelphia, Dr. Duc Nguyen is a graduate of NYU College of Dentistry. Following graduation, he furthered his training with a General Practice Residency at Kings County Hospital in Brooklyn, New York. It was there that he received the prestigious Resident of the Year award. After completing his education in New York, Dr. Nguyen moved to the San Diego area and has been practicing here ever since. 

Dr. Nguyen is dedicated to treating all his patients with respect for their individual oral health needs. He respects your time and wishes and believes that we ...

Featured Blog Posts - Cosmetic Dentistry

October 28, 2017

Is One of These Cosmetic Dentistry Treatments Right for You?

Many of us have esthetic smile imperfections we would like to correct. Your concern may be as simple as a dull smile, or as complex as a full smile makeover that combines several services. Whatever your needs and goals, cosmetic dentistry provides the solution you are looking for!

Cosmetic Dental Options

These days, cosmetic dentistry is not just about veneers and teeth whitening. Virtually anything a dentist does that improves the appearance of your smile can be considered cosmetic dentistry!

With that in mind, let’s take a look at some of the cosmetic ...

May 16, 2017

Congratulations Dr. Nguyen

We are so excited to welcome his daughter, Elle, into the world. This little bundle of joy was born on Friday, May 12th in the wee hours of the morning. We wish her all the best in life and great teeth! 

In case she needs orthodontic treatment (braces), like many of us do, we thought we’d talk about what to do when white spots develop. We all know that once braces come off, all we want to do is flash those pearly whites and smile that Julia Roberts smile, but those ...

Getting an appointment is fast and easy!
Get Started!