Peak Dental
A Great Dentist

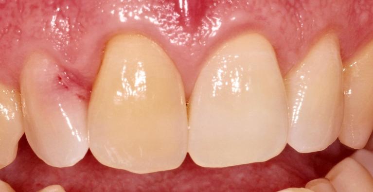
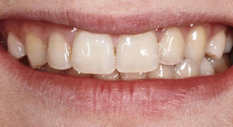
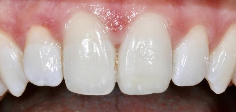
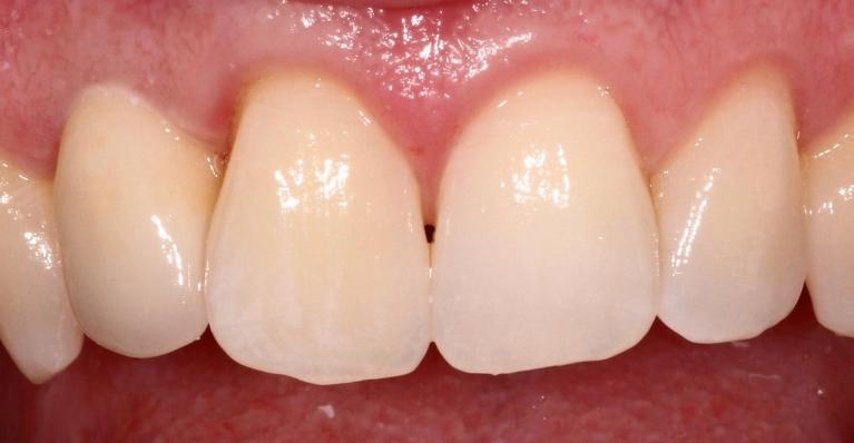
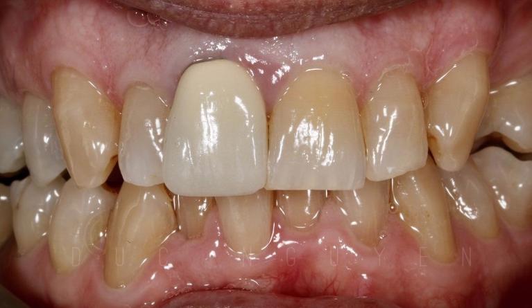
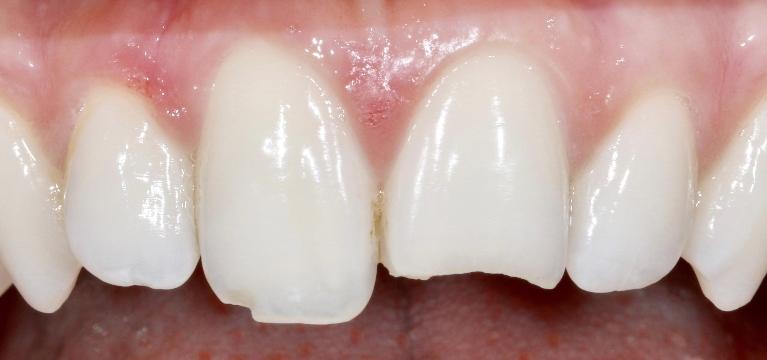
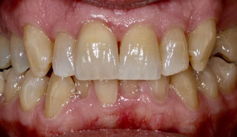
Smile Gallery

Do you feel your smile expresses your true personality?

If you're considering making a change but aren't sure what treatment is right for you or how the final result will actually look, please take a look through our images of actual patients and their smile transformations. 

Ready to book an appointment?
A wonderful place to have your dentist work done

We moved into the R.P. neighborhood back in '91 and have been going to this practice ritually ever since! I always hated going to the dentist, but not anymore! My husband and two girls have also been coming here for many years and we have ALWAYS been treated like family! From the time we walk in the door Michelle greets us with a smile! They all know our names and make us feel at home. Dr Casciari, Dr. Nguyen and their staff are an amazing team!!! They are knowledgeable, communicative, and never too busy to take the time to explain what is going on. I have had SO much work done over the years, and I have to admit, somehow it is painless!! I have recommended them to a few of my older friends and they now are extremely glad that I did! Somehow I never imagined getting my teeth cleaned and worked on would be this easy. Kate and Shannon are superb at their roles and I can honestly say that this is a WONDERFUL place to have your dentist work done!

–Diane S.

If you have difficulty using our website, please email us or call us at (858) 484-4104
View the ADA Accessibility Statement