Crowns & Bridges in San Diego

Are you bothered by damaged teeth that affect your appearance and your lifestyle?
Dental crowns and bridges are two of the most essential restorative dental treatments we offer. Damaged teeth look and feel unhealthy and inhibit your ability to enjoy and engage in life fully. You may even be reminded of your damaged tooth every time you try to speak or eat.
At Peak Dental, we customize your state-of-the-art dental care to take all your unique needs into account. Dr. Nguyen enjoys the creativity and artistry involved with creating durable and natural-looking restorations. His passion for esthetics, combined with his experience and expertise, enables him to create beautiful, durable restorations.
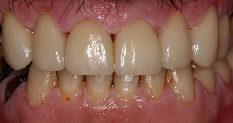
Versatile Dental Crowns
The purpose of a dental crown is to provide support for a tooth weakened or damaged tooth. A crown also restores function so you can use the tooth normally to eat and speak comfortably.
Some typical cases that require the support of a dental crown are:
- A tooth has been weakened by root canal treatment and requires support
- We need to add a functional restoration after dental implant placement
- A tooth grinding habit has worn away a tooth to the point where it needs additional support
- A tooth has broken in such a way that bonding or a filling won't provide sufficient protection
Since we use crowns to create a new tooth surface, they can also be used to hide cosmetic flaws like severe dental discoloration. There are several materials that can be used, and Dr. Nguyen will help you decide which is best for your needs.
Fixed Bridges Restore Smiles
When you lose a tooth, you also lose its function and the ability to eat, speak, and smile comfortably. But a dental bridge restores lost function and fills in the empty space to improve your appearance.
Adding a dental bridge when you have a missing tooth is also good for your oral health. Our teeth are constantly moving to some extent, and the teeth adjacent to the space will gradually start to shift into it. Ultimately, you may experience a problem with your dental bite and other issues.
We place many dental bridges to accomplish the following:
- Restore comfort when eating and chewing
- Close the gap left by a missing tooth
- Prevent shifting of surrounding teeth
- As an alternative to removable partial dentures
Fixed bridges are attached to neighboring teeth with dental crowns and are very stable. If appropriate, we’ll be happy to talk to you about the possibility of combining your bridge with a dental implant for the ultimate in stability.
Please Call to Schedule an Appointment
Everyone deserves a smile that looks beautiful and makes you feel good about the way you look. Today there are so many great options in dentistry that there's no reason to live with a smile that makes you uncomfortable and reduces your confidence. Please call our San Diego dental office to arrange a consultation with Dr. Nguyen. At that time, we’ll be happy to tell you about all your options for bringing your smile back to its full health and beauty.